Dossiers  >   VIH  >  Cas clinique VIH/sida : une tuberculose pulmonaire et une thrombose veineuse profonde associées

Cas clinique VIH/sida : une tuberculose pulmonaire et une thrombose veineuse profonde associées

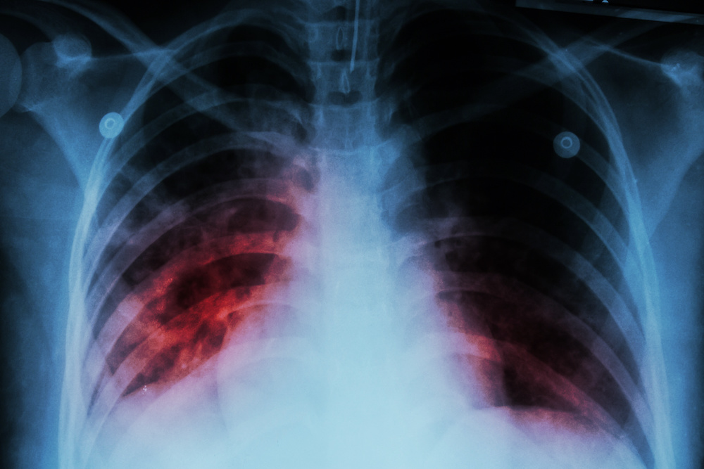
Le cas clinique rapporté est celui d’un patient de 30 ans diagnostiqué avec une infection par le VIH, mis sous ART, qui va rapidement développer une tuberculose pulmonaire. L’apparition d’une douleur, d’un érythème et d‘un gonflement au niveau du genou gauche 1 mois plus tard va conduire à un diagnostic de thrombose veineuse profonde. L’originalité de ce cas réside dans la coexistence de trois diagnostics, un sida, une thrombose et une tuberculose pulmonaire.

Une infection par le VIH multiplie par un facteur de 2 à 10 le risque de thrombose veineuse, comparé à ce qu'on observe dans la population générale. L'incidence moyenne en Europe serait de 131 cas/10.000 personnes/an. Les facteurs connus pour favoriser la VTE chez les patients VIH+ sont un taux de cellules CD4 faible, la présence d'un sida clinique, une déficience en protéine S et en protéine C. En parallèle, les patients VIH/sida ont un risque majeur de contracter une tuberculose pulmonaire. Cette étude rapporte pour la première fois la coexistence chez un même patient d'un sida, d'une tuberculose pulmonaire et d'une thrombose veineuse profonde.

Vous désirez lire la suite de cet article ?

Inscrivez-vous gratuitement pour accéder à tous les contenus de Mediquality sur tous vos écrans.