Dossiers

World COPD Day 2024

Bienvenue

De nouveaux biomarqueurs pour la BPCO pourraient aider les médecins à surveiller et à traiter la maladie

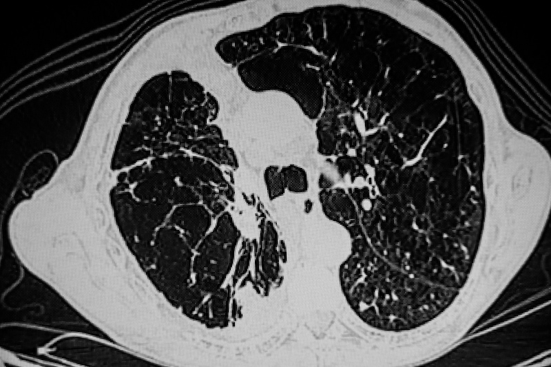
Vienne, Autriche – Deux études présentées lors du congrès 2024 de l'European Respiratory Society (ERS) ont montré d’une part que la tomodensitométrie pourrait aider à mieux orienter les traitements des patients atteints de BPCO et d’autre part que l’analyse des composés organiques volatils dans l'haleine des patients permettrait de mieux prédire les exacerbations.

Inscrivez-vous gratuitement

Afin d'accéder à l'info médicale nationale et internationale sur tous vos écrans.

Comment motiver les patients atteints de BPCO et leurs proches lors de la réadaptation pulmonaire.

BPCO : au moment du diagnostic, peut-on prédire les exacerbations ?

Vous souhaitez consulter un article plus ancien ?

Rechercher un article