Medisch  >  Jan Yperman Ziekenhuis plaatst elleboogprothese aan de hand van unieke techniek

Jan Yperman Ziekenhuis plaatst elleboogprothese aan de hand van unieke techniek

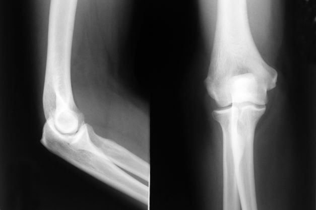
YPER 13/03 - In het Jan Yperman Ziekenhuis in Ieper is vrijdag een halve elleboogprothese geplaatst bij een patiënt. Het gaat om een ingreep die wordt toegepast bij patiënten met artrose aan de buitenzijde van de elleboog. In België is het Jan Yperman Ziekenhuis voorlopig het enige ziekenhuis dat deze ingreep aanbiedt.

Artrose van de elleboog komt minder vaak voor dan artrose van de heup of knie, maar het veroorzaakt veel pijn. Een oplossing is het plaatsen van een prothese. Zo werd in het Jan Yperman Ziekenhuis vrijdag een 'halve elleboogprothese geplaatst. "Daarbij wordt enkel het beschadigde deel van de elleboog vervangen, het scharniergewricht zelf blijft intact. Daardoor revalideert de patiënt in principe veel sneller", klinkt het. 

Wilt u de rest van dit artikel lezen?

Registreer gratis om toegang te krijgen tot de volledige inhoud van MediQuality op al uw schermen